원장님 칼럼
게시판&후기
- 구리인플랜
- 21-07-22 16:44
안녕하세요
구리치과, 구리 인플란트치과 보철과 원장 박하은입니다.
틀니는 진단단계에서 정확한 진단과 계획이 있어야
마무리 되었을 때 환자분이 만족하고 오래 사용할 수 있습니다.
오늘 구리치과 인플란트치과에서 포스팅할 환자분은
“ 혈압도 있고 당뇨도 있어서 틀니를 하고 싶어요”
를 주소로 보호자분과 함께 내원하신 80대 남성분이십니다.
파노라마 사진을 보니 남아 있는 치아들 잇몸뼈가 전반적으로 많이 내려가 있어
많은 치아의 동요도와 그동안의 불편감을 예상할 수 있었습니다.
특히나 당뇨로 당조절이 잘 안되는 분들의 경우 치주질환이 더 악화되기가 쉬워서
그동안 관리가 어려우셨을 점들이 느껴졌습니다.
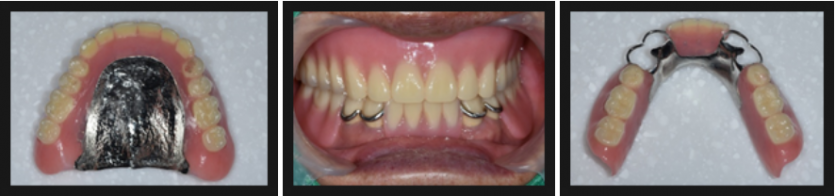
상악에 남아있는 치아는 다 발치하고 하악에도 부분적으로 치아를 남겨두고 부분틀니를 계획 하였습니다.
구리치과 인플란트치과에서는 환자분 고령이시고 드시는 약이 많아 발치는 3번에 나누어서 진행하였고,
치아를 뽑고 뼈와 잇몸이 차오르는 기간동안 임시 틀니를 사용하였습니다.
이렇게 발치후 사진을 보시면 이를 뽑은 흔적을 살펴보실 수 있는데요
발치를 하고 나면 그 부위의 뼈가 본연의 역할이 끝나서 흡수되고 부분적으로 차오르는데 최소 3개월 이상의 시간이 소요됩니다.
잇몸뼈는 세월의 흐름에 따라 지속적으로 변하는데 특히 발치 후 이 시기에 많은 변화가 있기 때문에
최종틀니는 필요시 충분한 시간을 지난 후에 제작하시는게 좋습니다.
고령의 다양한 전신질환을 가지고 계신 환자분이셔서 치과치료에 대한 두려움이 많으셨는데
항상 보호자분과 함께 구리치과 인플란트치과를 내원하셔서 적극적인 치료로 잘 마무리 하였습니다.
처음 사용하시는 틀니인데도 잘 적응하셔서 사용하셨습니다.
이렇게 구리치과 인플란트치과에서는 정확한 진단을 통하여
환자분들에게 꼭 필요한 치료를 해드리고 있습니다.
바쁘신 분들을 위들을 위해 월수금 야간 진료를 진행하고 있으니
구리치과 치료를 찾으셨던분들은 많은 문의 부탁드립니다.

